審美歯科BTA研究会
会長挨拶
審美歯科BTA研究会は、私の開発した審美補綴法であるBTAテクニック®に関する臨床、研究の進歩発展を図り、患者を幸福にすることを目的としています。
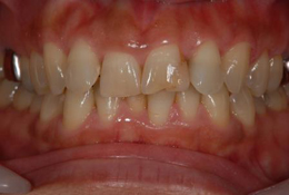
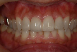
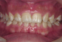
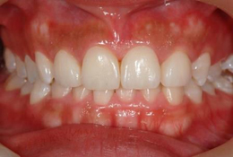
BTA(Biological Tissue Adaptation) テクニックはセラミッククラウンやラミネートべニアの治療を行う際に、大掛かりな手術をせずに歯肉ラインも同時に整えることができる治療法です。
この治療法は、一見すると今までの歯科常識から逸脱した間違った治療法のように考えられがちですが、学術的な裏付けにのっとった治療法です。正しい治療法であることは、すでに20年以上の良好な結果を得ている症例を含め、多くの成功症例が裏付けているものと思います。
本研究会では、セミナーの開催、会員向けの勉強会、学会での発表など、活発な活動を行っており日本歯科審美学会では、BTAテクニック®によるポスター発表で、私を含め3名が優秀発表賞を受賞しています。
大きな可能性を持ったBTAテクニック®はまだまだ新しい治療法を生み出していくものと思います。日本だけにとどまらず世界にBTAテクニック®を発信していく予定です。
審美歯科BTA研究会会長 坪田健嗣
|
令和8年開催7月開催 新BTAテクニック®ベーシックセミナーのご案内 調整中
坪田会長の『BTAテクニック®』Webセミナーを配信受講(下記URL にて)しますと、当研究会主催のBTAテクニック®セミナーを受講と同じ入会取得条件に該当いたします。下記のQRコードとバナーから、WHITECROSS LIVEセミナーにアクセスしてお申し込みください。
https---www.whitecross.co.jp-streamings-view-156 坪田健嗣 ========================================================
Dr黒田敏樹先生による『明日から使える一般臨床医におけるBTAテクニック®の臨床応用の勘所』のWebセミナーをホワイトクロスにて配信致しております!よろしくお願いいたします。
一般臨床医におけるBTAテクニック®の臨床応用の勘所講師: 黒田 敏樹 近年、生物学的幅径は、骨縁上組織付着と用語を変えている。この背景には、歯肉縁下組織の捉え方が変化しつつあるからであろう。歯肉切除を伴う補綴治療であるThe Biological Tissue Adaptation Technique® (BTA) は審美治療だけでなく、歯肉の健康や救歯臨床に応用できる。そんなBTAの臨床応用の勘所を症例を交えポイントとなる所をお話させて頂きます。 下記のQRコードとバナーから、WHITECROSS LIVEセミナーにアクセスしてお申し込みください。
https://www.whitecross.co.jp/streamings/view/115 黒田敏樹 ==================================================================== BTAテクニック® は患者の負担が少なく、3次元的なBiologic widthにより歯肉ラインを整え審美を改善し、歯肉退縮の防止を目的に考案された生体親和性に優れた治療法である。BTAマージンが歯肉を抑えるため歯肉の後戻りがなく、審美性、清掃性を保てる。辺縁歯肉は密着して非角化しており、また歯肉溝が無くプラークが溜まりにくので歯垢沈着の抑制、滲出液により防衛能力が高まり細菌の侵入を抑制できる。インプラント補綴においても有効な治療法でインプラントフィクスチャーより径の太い歯牙のケースなど、アバットメントをこのテクニックにより治療することで骨吸収や歯肉退縮を防ぎ、清掃に優れた天然歯に近似した形態等の審美改善ができる。 このBTAテクニック® の概要とそのメカニズムを用いた補綴装置製作方法(デジタル化を含め)と、長期経過臨床ケースを紹介したい。
「BTAテクニック®の技工」BTAテクニック®とは、補綴装置製作方法と臨床症例講師: 小原信二 下記のバナーから、WHITECROSS LIVEセミナーにアクセスしてお申し込みください。 [VOD]「BTAテクニック®️の技工」 補綴装置製作方法と臨床症例 | WHITE CROSS
|












